Fogászati prevenciós központ

Fogpótlás Budaörsön – kényelmes, tartós megoldások

A helyes fogápolás és a rendszeres rendelői fogtisztítás az egészséges fogak megőrzésének az origója, ami kevésbé forog a köztudatban.

Budaörsi fogorvosi rendelőnkben, fogászati magánrendelésünk keretein belül kiemelt hangsúlyt fektetünk a prevencióra, vagyis a megelőzésre.

Mikor kezdődik el a prevenció?

Onnantól, hogy kibújtak az első tejfogak, fokozott figyelmet kell fordítani a fogak tisztítására és az elfogyasztott ételekre. Megfelelő szájhigiéniával megelőzhető a fogak és az azokat tartó ínyrész megbetegedése, akár egy egész életen át.

Milyen prevenciós szolgáltatásokkal várjuk a budaörsi fogászati magánrendelésen?

Budaörsi fogorvosi rendelőnkbe nem csak akkor javasolt ellátogatnia, ha valamilyen konkrét panasszal küzd. Dentálhigiénikus szakembereink az alábbi szolgáltatásokat nyújtják (felnőttek és gyerekek részére egyaránt):

  • professzionális fogtisztítás svájci EMS készülékkel
  • professzionális fogkő-eltávolítás és polírozás
  • iTop szájhigiénés tanácsadás és helyes fogmosási technika elsajátítása
  • fogászati állapotfelmérés
  • kismamák fogászati gondozása

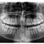
A fogászati állapotfelmérés során a legkorszerűbb diagnosztikai eszközökkel állunk rendelkezésére: panoráma röntgen, teleröntgen, kis röntgen és 3D CT – ezekről itt olvashat bővebben.

Professzionális fogtisztítás EMS készülékkel

Fogászati magánrendelésünk professzionális eszközökkel biztosítja a legmagasabb színvonalú ellátást. Az EMS készülékkel végzett fogtisztítás egy modern, hatékony és kíméletes módszer a fogak és az íny alapos tisztítására.

A hagyományosnak mondható fogkő-eltávolítás továbbfejlesztett és kiterjesztett változata, ami (amellett, hogy teljesen fájdalommentes) sokkal több is annál. Az eljárás lényege, hogy a fogakon megtapadó láthatatlannak tűnő, színtelen-szagtalan, ám baktériumoktól hemzsegő- bevonatot (biofilm) egy speciális színezékkel láthatóvá tesszük és professzionális műszerekkel teljesen eltávolítjuk. 

A folyamat egy 8 lépéses protokollon keresztül épül fel, mely során a biofilm terápia egyik nagyon fontos és elengedhetetlen lépése a biofilm megfestése, hogy látható legyen az, hogy hol kell nagyobb hangsúlyt fektetni a helyes fogmosási technikák elsajátítására.

Az irányított biofilmterápiás kezelésről részletesebben itt olvashat.

Professzionális fogkő-eltávolítás

A fogkőlerakódás elsődleges kiváltó oka a kevésbé alapos fogtisztítás. Tévhit, hogy genetikailag valaki jobban, mások kevésbé hajlamosak a fogkövesedésre. A fogkő kialakulása megelőzhető helyes táplálkozással (cukros, savas ételek kerülése) és rendszeres, legalább 3-4 percig tartó, megfelelő eszközökkel végzett alapos fogmosással. 

A fogászati magánrendelésen elérhető rendszeres dentálhigiénés kezeléssel (6 havonta) el tudjuk távolítani az esetlegesen kialakult fogkövet, megakadályozva ezzel a fogágybetegségek és fogszuvasodás kialakulását. 

Mint ahogy kozmetikushoz, fodrászhoz járunk rendszeresen, az éves rutin részévé kellene, hogy váljon a dentálhigiénés kezelés is. 

A professzionális fogkő-eltávolításról részletesebben itt olvashat,

iTop szájhigiénés tanácsadás

iTop trénereink szájhigiénés tanácsadást tartanak, illetve segítenek a gyerekeknek, valamint a felnőtteknek a helyes fogmosás elsajátításában.

Ennek során a fogtisztítás leghatékonyabb technikáit ismertetik, és segítenek kiválasztani, melyek a páciensünk egyedi igényeinek leginkább megfelelő fogápolási eszközök és termékek az ideális szájhigiénia fenntartásához. 

Budaörsi fogorvosi rendelőnkben megbeszéljük a helyes fogmosási technikát, kitérünk a fogközök tisztításának fontosságára és az ezekhez szükséges eszközökre. A szájhigiénés oktatás 2 alkalomból áll. Az első alkalmon megtanítjuk a helyes mozdulatokat, kiválasztjuk a megfelelő eszközöket, majd a következő alkalommal visszaellenőrizzük, hogy megfelelően történt-e az otthoni fogtisztítás. 

A „nem tudás” nem szégyen! Örömmel megmutatjuk felnőtteknek és gyerekeknek egyaránt, hogy miként tudnak ők maguk tenni az élethosszig tartó egészséges fogak megőrzéséért.

Fogászati állapotfelmérés

Rendszeres fogászati állapotfelméréssel megelőzhető a komolyabb fogászati problémák kialakulása. Számos megbetegedés – korai fogszuvasodás, enyhe fogágybetegség, rágó fogakon, vagy a fogak belső oldalán kialakult fogkő – sok esetben a kezdeti időszakban tünet nélkül van jelen a szájban. 

Ha sikerül időben beazonosítani a kialakuló stádiumban lévő elváltozásokat, akkor elkerülhető, hogy esztétikus fogtömésselesztétikus fogpótlássalfogszabályozással, esetleg parodontológiai kezeléssel kelljen egy hosszadalmasabb és bonyolultabb fogászati kezelésbe belevágni. 

Várjuk Önt félévente budaörsi fogászati magánrendelésünkön, rendszeres fogászati állapotfelmérésre!

Kismamák fogászati gondozása

Tévhit az idősebb generációktól gyakran hallott mondat, mely szerint ahány gyerek, annyi fog mínusz. Megfelelő szájápolással megőrizhető a fogak épsége terhesség és szoptatás alatt is. 

Fontos azonban, hogy ebben az időszakban a fogak és a fogágy fokozott veszélynek vannak kitéve, ezért érdemes 3 havonta kontroll vizsgálaton részt venni. A gyulladt fogíny, vagy a fokozott fogkő akár koraszüléshez, vagy a terhesség első hónapjaiban vetéléshez is vezethet. 

Szeretettel várjuk és örömmel segítünk a budaörsi fogászati magánrendelésen, hogy felhőtlen legyen a babavárás időszaka.